生物体内除了结合在血红蛋白中的铁离子,还有主要储存在铁蛋白(Ferritin)中的铁。铁蛋白以可溶性、无毒、易获取的形式储存铁,对于维持铁稳态和保护细胞免受氧化损伤至关重要。铁蛋白主要由铁蛋白重链(Ferritin Heavy Chain 1,FTH1)和铁蛋白轻链(Ferritin Light Chain,FTL)两个亚基组成。FTH1具有亚铁氧化酶活性,能够促进铁的氧化和细胞对铁的摄取;FTL主要参与铁核形成和维持铁蛋白的稳定。小编本期推荐的明星抗体K108517P,可是侦察FTH1蛋白的得力干将,让我们一起来认识下吧!
明星抗体三维数据卡
|
名称 |
Anti-FTH1 Polyclonal Antibody |
|
编号 |
|
|
交叉 反应 |
Human Mouse Rat |
|
应用 |
WB IHC IF |
|
推荐稀释 比例 |
WB 1:1000-3000 IHC 1:50-200 IF 1:50-200 |
抗体靶标
FTH1基因编码铁蛋白的重亚基。铁蛋白由外面的蛋白壳和中心的铁核构成,蛋白壳均由24个亚基以高度对称形式组成的内空心结构。FTH1与FTL的比例不是固定的,它受不同机体或者相同机体的不同位置和不同环境的影响,也与外源性应激、分化和发育过度等刺激有关。铁蛋白亚基组成的变化可能会影响铁在不同组织中的吸收和释放速率。铁蛋白在功能上具有较高的保守性,脊椎动物的铁氧化中心位于FTH1,可绑定2个Fe2+,与O2反应形成不稳定的复合物,随后形成三价铁复合物并被转移到空腔表面,结合、吸收细胞内的铁离子并使其矿化,维持机体铁平衡。
蛋白分子量
FTH1蛋白质的标准序列183个氨基酸,理论分子量约21kDa,实际蛋白分子量约21kDa(参考Western blot验证结果)。

图1 K108517P-Western blot验证
亚细胞定位
FTH1蛋白主要存在于细胞质中,在脊椎动物的线粒体和细胞核中也有发现,且在昆虫中是一种分泌蛋白。

图2 FTH1的亚细胞定位示意图

图3 K108517P-Immunofluorescence验证
组织分布
铁蛋白是体内铁的主要储存形式,普遍存在于生物体内,在脾脏、肝脏、骨髓中含量最高,在其它组织血清、血细胞等中也有发现。

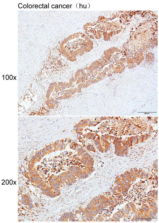
图 4 K108517P-Immunohistochemistry验证
生物学功能
FTH1具有铁氧化酶功能,可将机体内过剩的铁催化成Fe3+并储存在铁蛋白复合物中,维持正常的铁稳态;同时也具有抗氧化应激功能,在吸收和释放铁方面,能够降解自由基有效阻止由过量铁引起的氧化损害;还具有免疫调节功能,细胞受到细菌感染、病毒入侵时,FTH1对炎症的发生可产生抵抗作用调节宿主免疫反应,并参与脂质代谢和其他生化反应等;FTH1与疾病发生相关,参与调节多种重要的细胞过程,如凋亡、细胞周期和铁死亡等。在神经退行性疾病中发现脑部细胞发生铁死亡,而铁死亡可能通过铁蛋白吞噬的过程来增强,因此调控FTH1的表达可能是多种疾病潜在的治疗靶点。
第十六期产品星推荐就到这里啦!想要了解更多产品信息,请关注微信公众号:Solarbio索莱宝和索莱宝网站!
相关产品
|
产品货号 |
产品名称 |
|
|
Anti-FTH1 Polyclonal Antibody |
|
|
Recombinant Human FTH1 Protein |
|
|
Recombinant Human Ferritin Heavy Chain/FTH1 |
|
|
Recombinant Human Ferritin Heavy Chain/FTH1 |
|
|
羊抗兔IgG-HRP |
|
|
羊抗兔IgG-RBITC |
|
|
DAPI溶液(1mg/ml) |
|
|
增强型DAB显色 试剂盒(20×) |
|
|
ECL Plus超敏发光液 |
|
|
SDS-PAGE凝胶 制备试剂盒 |
|
|
通用SP检测试剂盒 |
